
Before & Afters
Before & Afters
Real Results. Healthier Smiles.
At Torrey Hills Periodontal Group, every transformation begins with trust and ends with restored confidence. From reversing the effects of gum disease to placing long-lasting dental implants, we’ve helped countless patients reclaim their oral health—and their quality of life. Take a look at the difference expert periodontal care can make.
.webp)

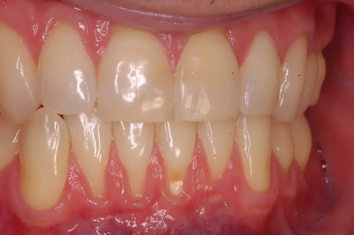
before

after

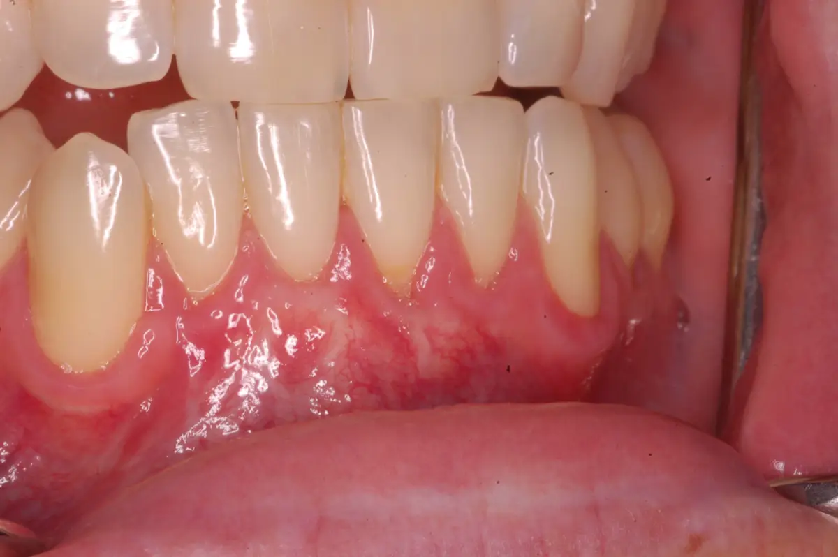
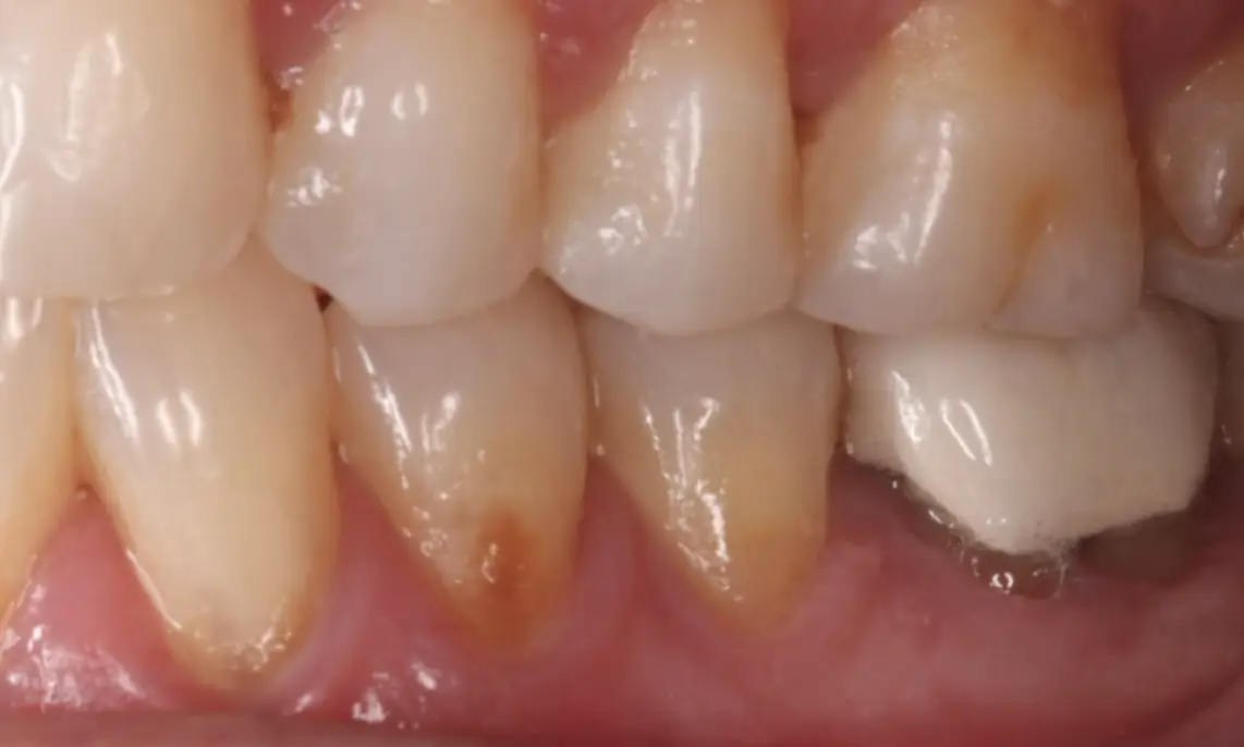
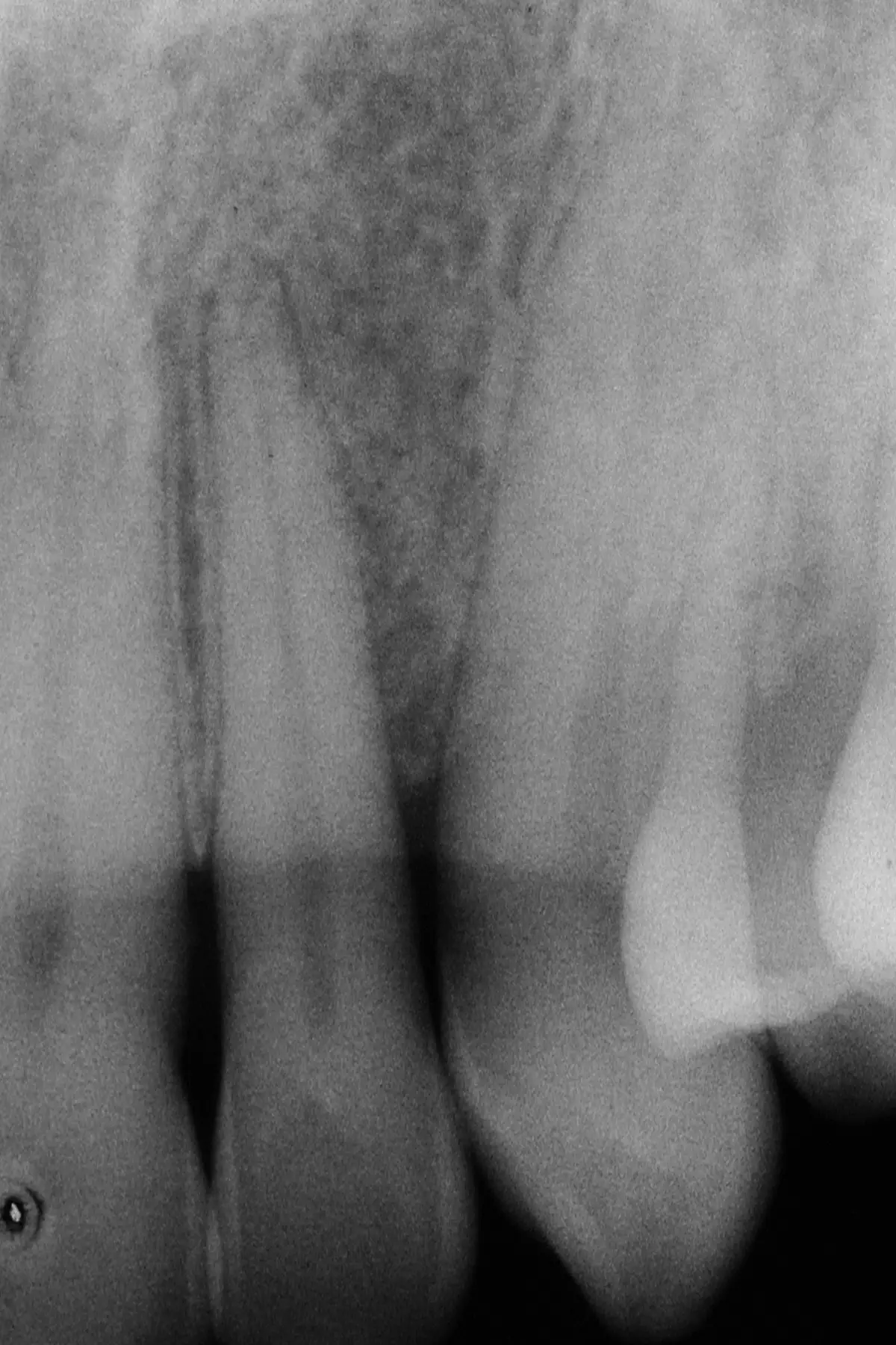
Connective Tissue Graft
before

after
.webp)
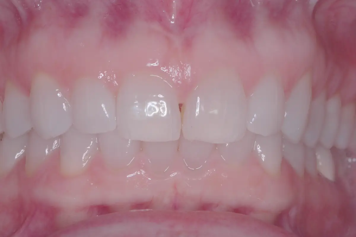
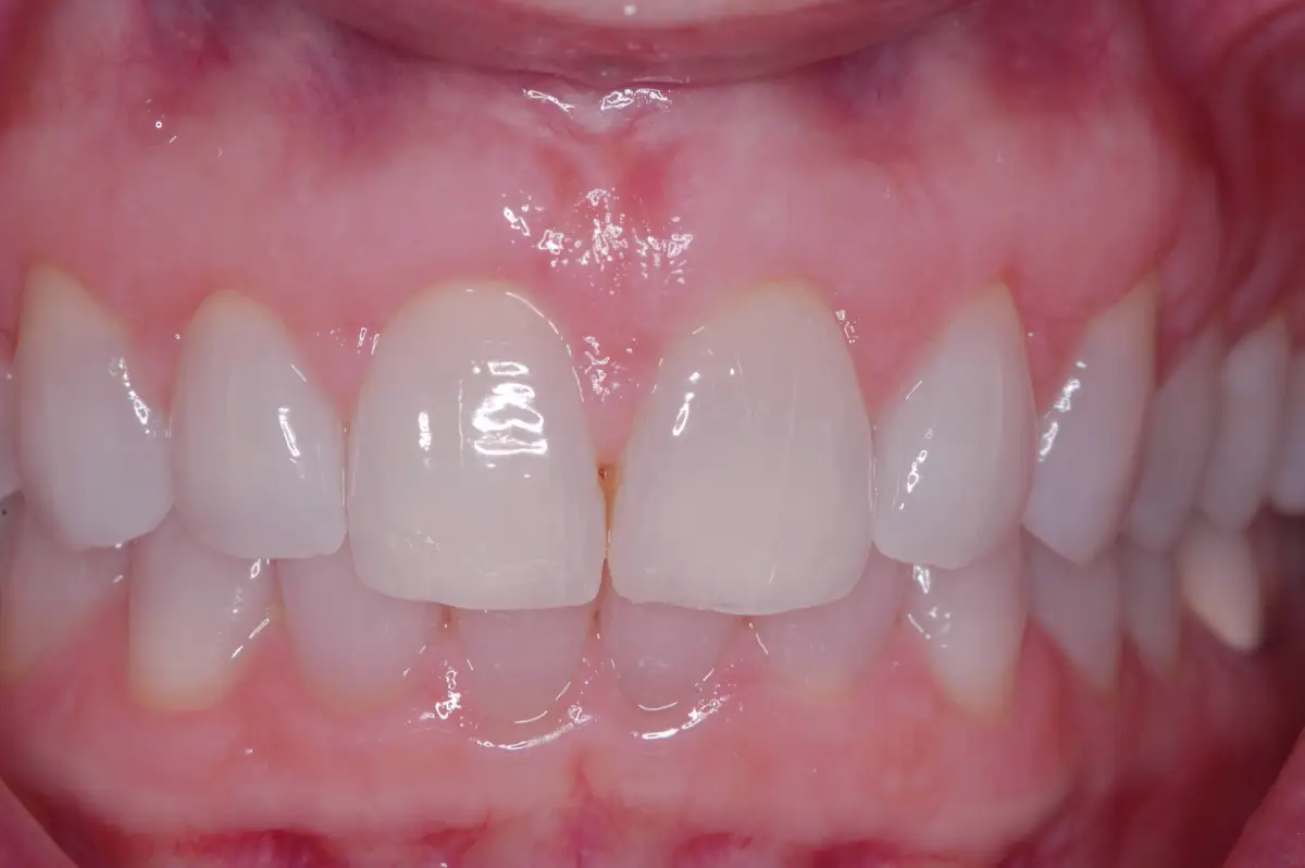
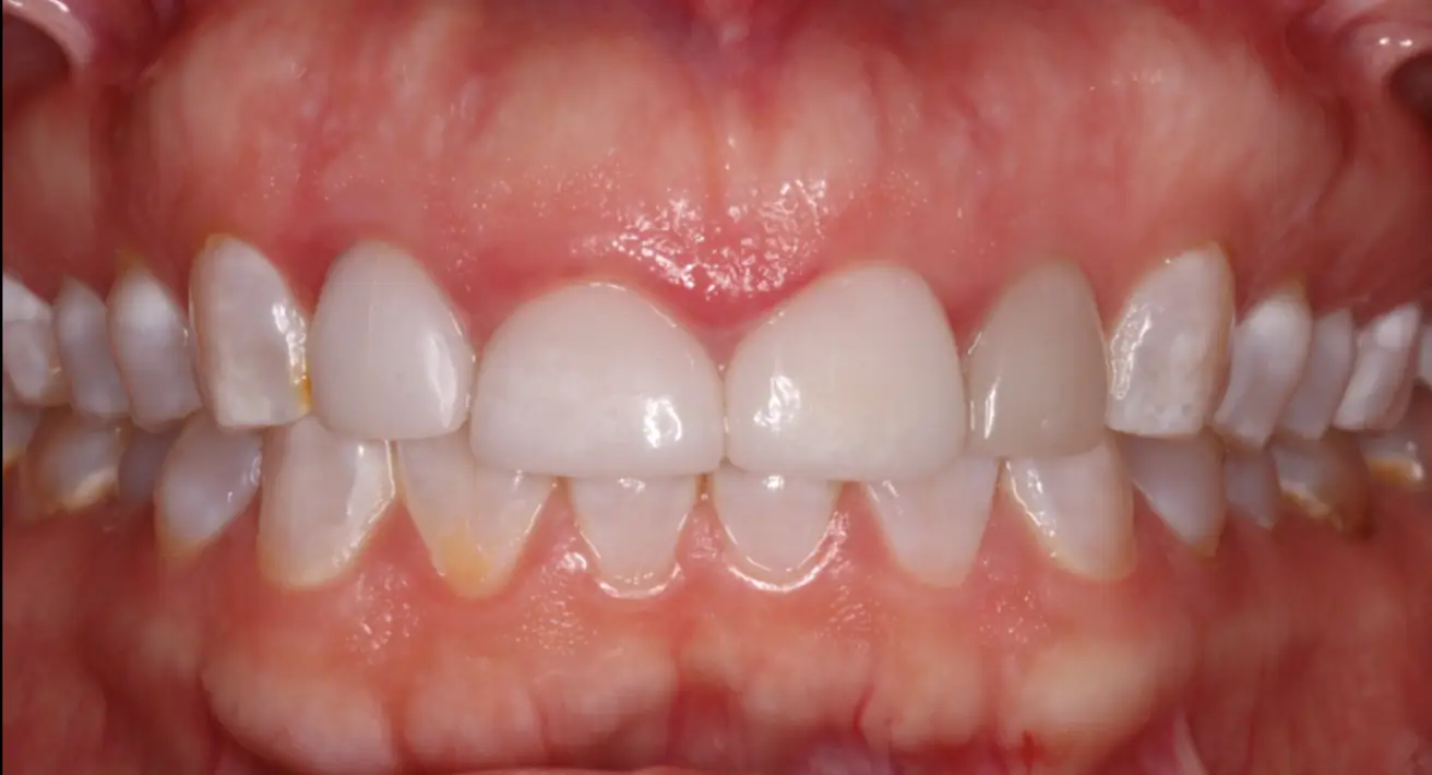
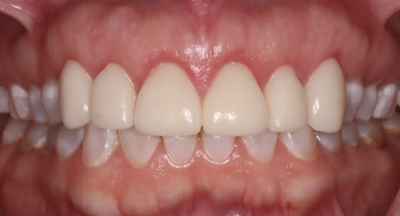
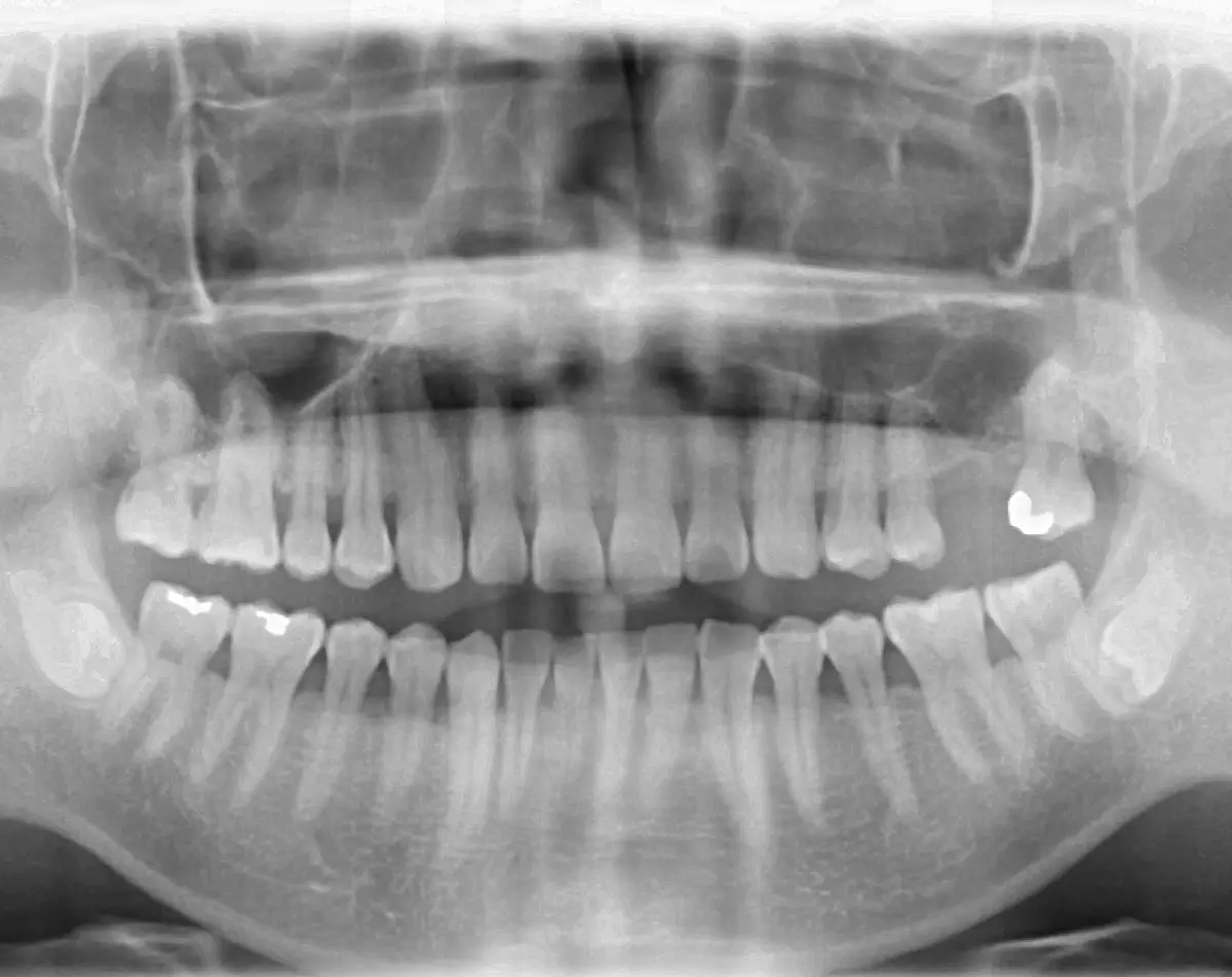
4D Full Mouth Rehabilitation
before

after
.webp)
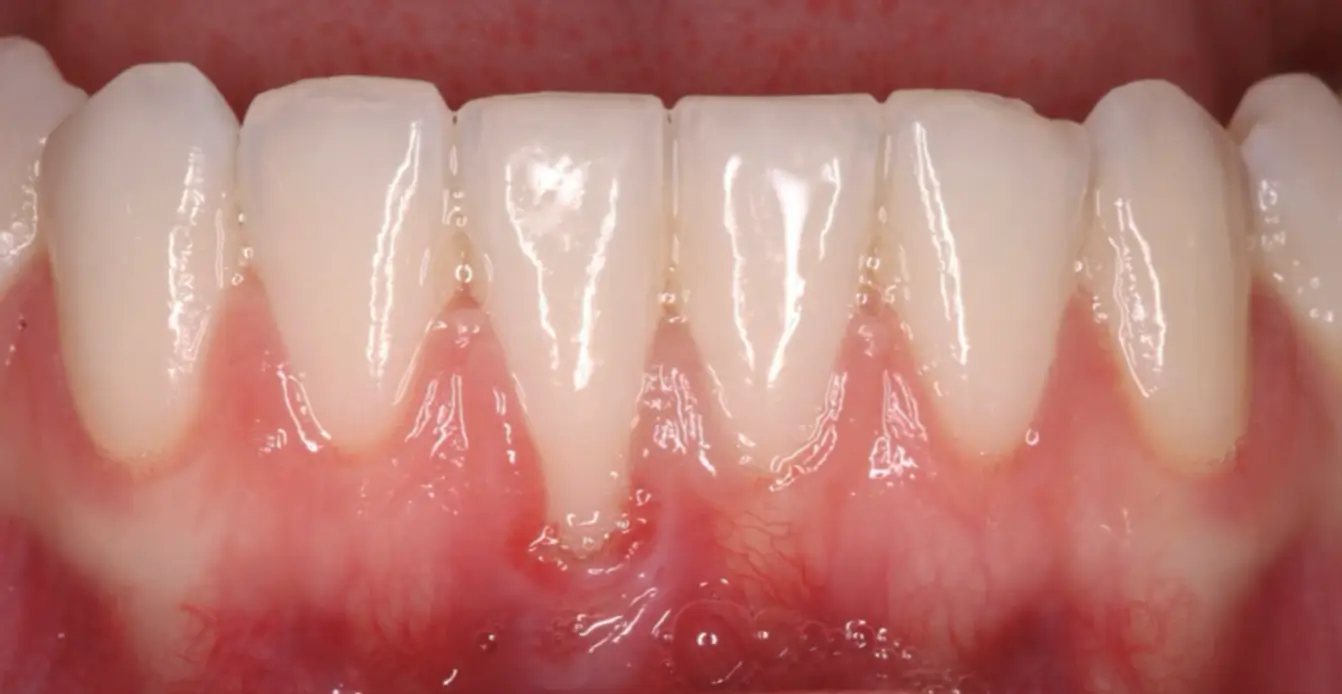
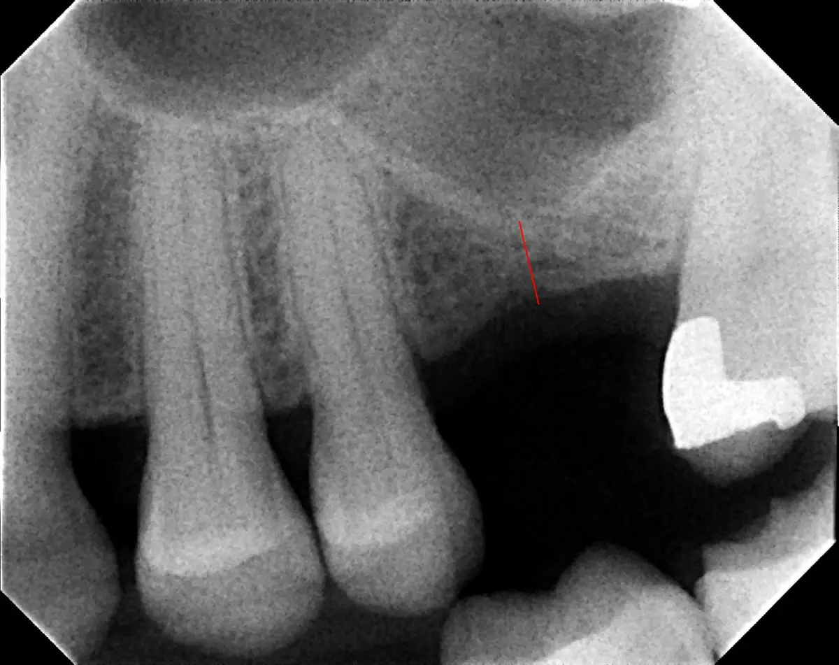
Bone Graft
before

after

Anterior Crown Length
before

after

Ortho Exposure
before

after

CTG Build Up Ridge
before

after

Frenectomy
before

after
.webp)
Connective Tissue Graft
before

after
.webp)
Bone Graft
before

after

Connective Tissue Graft
before

after

Acellular Dermal Matrix
before

after

Esthetic Crown Lengthening
before

after

Free Gingival Graft

.png)